摘要:tRNA衍生的小RNA tRF-21通过核内调控LAP3表达和细胞质中抑制GSTM3活性。
tRNA衍生小RNA
tRF-21通过调控谷胱甘肽代谢酶促进前列腺癌进展。
研究背景与意义
转移RNA(tRNA)衍生的小RNA(tRFs)作为一类新兴的非编码RNA,近年来被发现参与多种生理过程和疾病,包括肿瘤发生。然而,tRFs在前列腺癌中的具体作用机制尚未明确。本研究首次揭示了tRF-21通过核内转录调控和胞质中RNA干扰双重机制,影响谷胱甘肽(GSH)代谢酶活性,导致活性氧(ROS)积累,进而激活AKT通路,推动前列腺癌发展。这一发现为前列腺癌的分子机制研究和靶向治疗提供了新思路。
图1 tRF-21LeuTAA通过调控谷胱甘肽代谢酶促进氧化应激从而支持前列腺癌进展
核心发现与机制解析
1. tRF-21的核内转录调控机制
研究表明,tRF-21通过结合LAP3启动子区域的特定保守序列(BS1),招募P300(组蛋白乙酰转移酶)和STAT1(信号转导与转录激活因子),增强H3K27ac修饰水平,从而激活LAP3转录。LAP3作为谷胱甘肽降解酶,其过表达导致GSH水平下降,间接促进ROS积累。实验通过ChIP测序和RIP验证了P300与STAT1在tRF-21介导的LAP3调控中的关键作用。
2. tRF-21的胞质RNA干扰机制
tRF-21在胞质中通过结合AGO2(RNA诱导沉默复合体核心组分),抑制谷胱甘肽S-转移酶μ3(GSTM3)的mRNA稳定性,降低其酶活性。GSTM3作为ROS清除的关键酶,其抑制导致胞内ROS水平升高,进一步激活AKT通路。这一机制与核内调控形成互补,共同促进肿瘤进展。
3. LAP3的促癌效应与GSH代谢轴
LAP3的Cys-Gly二肽酶活性通过降解GSH生成半胱氨酸(Cys)和甘氨酸(Gly),使ROS生成增加。同时,LAP3活性增强的AKT通路通过磷酸化mTORC2和抑制PTEN功能,促进细胞增殖、迁移和抗药性。动物实验证实,LAP3敲除显著抑制裸鼠移植瘤的生长,并提高化疗敏感性。
4. 临床相关性
研究发现,tRF-21和LAP3在前列腺癌组织中的高表达与患者不良预后(如进展期、化疗抵抗)显著相关。Kaplan-Meier分析显示,核定位的tRF-21(tRF-21N)和胞质定位的tRF-21(tRF-21C)均与患者无进展生存期(PFS)和总生存期(OS)缩短相关。多因素回归分析进一步验证了tRF-21N和临床分期为独立预后风险因素。
创新点与理论贡献
- 双重调控机制:首次阐明tRF-21通过核内表观遗传调控(H3K27ac修饰)和胞质非编码RNA(RNAi)双重通路协同作用,这一机制可能为其他tRFs的功能研究提供范式。
- 代谢-信号通路耦合:揭示了GSH代谢酶(LAP3/GSTM3)与ROS- AKT通路之间的分子联系,补充了氧化应激在肿瘤代谢调控中的理论。
- 临床转化潜力:提出靶向tRF-21或其下游效应分子(如LAP3、GSTM3)作为前列腺癌治疗的潜在策略,并首次将tRF-21与患者生存结局直接关联。
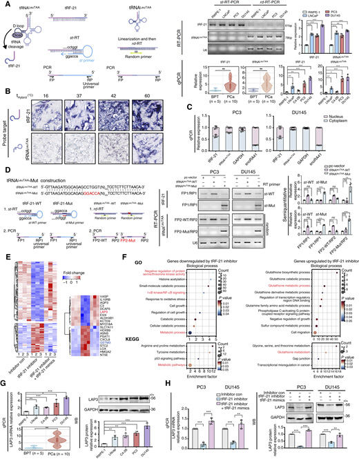
图2 前列腺癌中tRNALeuTAA来源的小RNA tRF-21的鉴定、表征及其靶基因研究
与现有研究的对比与补充
- 与tRNA功能研究的关联:传统认为tRNA主要参与翻译调控,但本研究的发现扩展了tRFs的功能边界,表明其可通过表观遗传修饰直接调控肿瘤相关基因。
- 与其他tRFs功能的异同:与已知的tRF-315(通过抑制GADD45A促进耐药)不同,tRF-21通过激活AKT通路促进增殖和迁移,凸显了tRFs功能的多样性。
- 与氧化应激理论的融合:将tRF介导的GSH代谢调控整合到ROS积累和肿瘤微环境理论中,为解释肿瘤代谢重编程提供了新视角。
研究局限与未来方向
样本多样性不足:目前研究主要基于前列腺癌组织样本,需进一步验证其在不同亚型(如激素敏感/抵抗型)和不同分期患者中的普适性。
- 分子机制深度:tRF-21与P300/STAT1的相互作用机制(如是否形成三元复合物)仍需结构生物学验证。
- 治疗策略探索:针对LAP3或GSTM3的小分子抑制剂(如已验证的bestatin)的体内疗效需通过临床前模型进一步评估。
结论
本研究系统解析了tRF-21在前列腺癌中的促癌机制,首次揭示其通过“核-胞质”双通道调控GSH代谢酶的分子网络。这一发现不仅深化了对tRFs功能机制的理解,更为靶向氧化应激代谢轴提供了理论依据。未来研究可聚焦于开发tRF-21靶向药物(如核酶抑制剂)或LAP3/GSTM3联合疗法,以改善前列腺癌患者预后。
参考资料
[1] tRF-21LeuTAA Promotes Oxidative Stress by Altering Glutathione Metabolic Enzymes to Support Prostate Cancer Progression