我国科学家开发出比CRISPR/Cas9更优的基因编辑系统
在一项新的研究中,来自中国河北科技大学和浙江大学医学院的研究人员发现类似于CRISPR/Cas9,来自Argonaute蛋白家族的核酸内切酶也利用寡核苷酸作为向导降解入侵的基因组。具体而言,他们发现来自格氏嗜盐碱杆菌(Natronobacterium gregoryi)的一种Argonaute蛋白(NgAgo)作为一种核酸内切酶,在向导DNA(guide DNA, gDNA)的引导下,能够在人细胞中进行基因组编辑。相关研究结果于2016年5月2日在线发表在Nature Biotechnology期刊上,论文标题为“DNA-guided genome editing using the Natronobacterium gregoryi Argonaute”。论文通信作者为河北科技大学生物科学与工程学院韩春雨(Chunyu Han)副教授。

韩春雨(中)及其合作者沈啸(左)、高峰(右)
基因组编辑技术CRISPR/Cas9被《科学》杂志列为2013年年度十大科技进展之一,受到人们的高度重视。CRISPR是规律间隔性成簇短回文重复序列的简称,Cas是CRISPR相关蛋白的简称。CRISPR/Cas最初是在细菌体内发现的,是细菌用来识别和摧毁抗噬菌体和其他病原体入侵的防御系统。
在CRISPR/Cas9系统中,酶Cas9在DNA靶位点上进行切割,其中这种靶位点是这样确定的:一种被称作CRISPR RNA(crRNA)的RNA分子利用它的一部分序列与另一种被称作tracrRNA的RNA分子通过碱基配对结合在一起,形成嵌合RNA(tracrRNA/crRNA),然后,借助crRNA的另一部分序列与靶DNA位点进行碱基配对,以这种方式,这种嵌合RNA就能够引导Cas9结合到这个靶位点上并进行切割。在实际应用时,人们可以将tracrRNA和crRNA作为两种向导RNA(gRNA)或者融合在一起形成单向导RNA(single guide RNA, sgRNA),并被用来引导酶Cas9结合到靶DNA序列上并进行切割,其中Cas9与sgRNA一起被称作Cas9-sgRNA系统。
进一步的研究还证实,CRISPR/Cas9的基因组编辑能力只有在被称作前间隔序列邻近基序(protospacer adjacent motif, PAM)的短片段DNA序列的存在下才成为可能。只有DNA靶位点附近存在PAM时,Cas9才能进行准确切割。再者,PAM的存在也是激活酶Cas9所必需的。
尽管科学家们已采用多种方式对CRISPR/Cas9系统进行优化来提高它的效率和特异性,它仍然存在一些不足之处,如CRISPR/Cas9系统仍然会在脱靶位点(在这些位点上,gRNA与靶DNA序列之间存在错配)进行切割,这种脱靶切割有可能导致很多有害的后果,如癌症产生;向导RNA容易形成二级结构,等等。
来自格氏嗜盐碱杆菌的Argonaute蛋白利用单链gDNA切割靶DNA
尽管来自嗜热栖热菌(Thermus thermophilus)的Argonaute蛋白(TtAgo)或来自强烈炽热球菌(Pyrococcus furiosus)的Argonaute蛋白(PfAgo)在5’端发生磷酸化的单链DNA存在下能够在体外切割DNA靶序列,但是它们都需要非常高的反应温度(>65 °C),这就使得它们不能够应用于哺乳动物细胞中。为了解决这一问题,研究人员利用PSI-BLAST搜索工具以TtAgo和PfAgo氨基酸序列为对象,在美国国家生物技术信息中心(NCBI)非冗余蛋白序列数据库种进行搜索,从中鉴定出一种潜在的候选蛋白:来自格氏嗜盐碱杆菌SP2菌株的Argonaute蛋白(即NgAgo)
![NgAgo uses 5[prime] phosphorylated ssDNA guides and cleaves DNA targets in vitro. NgAgo uses 5[prime] phosphorylated ssDNA guides and cleaves DNA targets in vitro.](/UploadFiles/FCK/2016-05/201605106J2HLP868N.jpg)
NgAgo利用磷酸化单链DNA在体外引导和切割DNA目标
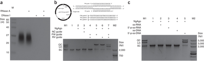
研究人员接着设计三种5’端发生磷酸化的长24个核苷酸的单链gDNA,其中两种单链gDNA彼此互补(记为FW和RV),而且能够结合到pACYCDuet-eGFP质粒的靶位点上;第三种单链gDNA含有随机的碱基序列,但不与这种质粒互补(记为NC)。此外,他们还设计了一对5’端发生磷酸化的单链gRNA,它们也能够结合这种相同的靶位点上。结果证实,在没有gDNA存在时,或者在NC gDNA存在时,NgAgo都不能切割这种质粒。当FW或RV gDNA存在时,NgAgo能够在37 °C下让这种超螺旋的质粒产生切口。当FW和RV gDNA同时存在时,NgAgo能够让这种质粒线性化。但是,在5’端未发生磷酸化的单链gDNA或者5’端发生磷酸化的单链gRNA存在下,NgAgo都不能切割这种质粒。
因此,NgAgo当与5’端发生磷酸化的单链gDNA结合时能够在37 °C下切割靶双链DNA。
NgAgo结合单链gDNA,并导致靶DNA发生双链断裂
为了评估NgAgo是否能够作为一种基因组编辑工具进行使用,研究人员首先在293T细胞中表达NgAgo,并研究它是否与人细胞中的内源性核酸结合,结果他们并未检测到与从293T细胞中纯化出来的NgAgo相结合的核酸,这提示着人细胞中存在的5’端发生磷酸化的单链DNA是非常少的,而且即便存在内源性的单链DNA,也不会将NgAgo引导到脱靶位点上。
研究人员利用编码NgAgo的质粒和这些人工合成的长24个核苷酸的单链gDNA或gRNA(5’端发生或未发生磷酸化)转染293T细胞时,发现NgAgo只能结合5’端发生磷酸化的单链gDNA,而不能结合单链gRNA和5’端未发生磷酸化的单链gDNA。
当将编码NgAgo的质粒转染到293T细胞24小时后再将5’端磷酸化的单链gDNA运送到这些细胞中时,研究人员发现NgAgo结合单链gDNA的数量显著下降,这提示着当NgAgo表达时,它只有在较短的时间内装载单链(或者说结合)gDNA。与这相一致的是,当从293T细胞中纯化出来的未装载单链gDNA的NgAgo在37 °C下即便与单链gDNA在体外孵育长达8小时,单链gDNA也不会装载到NgAgo上。再者,单链gDNA在体外只能在比较高的温度(55 °C)下装载到NgAgo上。只有从已进行单链gDNA转染的293T细胞中纯化出来的NgAgo,而不是在37 °C下与单链gDNA(FW gDNA,或者RV gDNA)孵育的NgAgo,才能在体外切割靶DNA。
进一步的实验证实从已进行NC gDNA转染的293T细胞中纯化出来的NgAgo随后在37 °C下即便与FW gDNA在体外孵育8小时也不能切割靶DNA。这些结果表明NgAgo非常忠实于它的初始单链gDNA,不能够在37 °C下进行单链gDNA交换。不过在55 °C下,NgAgo能够交换单链gDNA,即重新装载单链gDNA,但这时,NgAgo不能象37 °C下装载单链gDNA时那样高效地切割靶DNA,这是因为55 °C高温会降低NgAgo的酶活性。此外,在切割靶DNA时,NgAgo会在双链DNA(不是单链DNA)的靶位点内移除几个核苷酸。
研究人员在哺乳动物细胞中比较NgAgo-gDNA系统和Cas9-sgRNA系统的编辑效率,发现NgAgo-gDNA系统让靶基因失活的效率与Cas9-sgRNA系统一样高。利用这种方法,他们还证实对NgAgo而言,单链gDNA的最佳长度是24个核苷酸左右。
广泛的基因组靶向范围和较低的错配耐受性
研究人员测试了NgAgo对人基因组上的内源性靶位点进行编辑的能力。为此,他们对NgAgo进行修饰,将一种核定位信号(nuclear localization signal)附着到它的氨基端上确保NgAgo位于细胞核中。他们设计出5个针对人DYRK1A基因第11外显子的单链gDNA,然后通过T7核酸内切酶I(T7EI)检测和DNA测序,证实这5个gDNA均能引导NgAgo高效地切割靶DNA序列。
研究人员还测试47个靶向作用于8种不同基因的单链gDNA,他们发现这些gDNA的基因组编辑效率(21.3~41.3%)具有可比性,而且也没有观察到NgAgo对具有特定性质的序列具有明显的偏好性。
研究人员还在包括乳腺癌细胞系MCF-7、人骨髓细胞系K562和HeLa细胞系在内的多种哺乳动物细胞系中测试了NgAgo-gDNA系统,结果发现在所有这些细胞系中,NgAgo都能够高效地诱导DYRK1A基因靶位点发生双链断裂。
为了研究单链gDNA与靶DNA序列之间的核苷酸错配对NgAgo活性的影响,研究人员先针对一个DYRK1A基因靶位点设计出一个长24个核苷酸的单链gDNA,然后在这个单链gDNA的每个位置上引入单核苷酸错配。他们发现NgAgo介导的靶DNA切割对这个gDNA每个位置上的单核苷酸错配非常敏感:切割效率下降了73~100%,其中P8~P11位置上发生的单核苷酸错配导致最大的切割效率下降(85~100%)。他们还发现任何3个连续位置发生错配会完全破坏这种切割。
为了研究当单链gDNA长度发生变化时,NgAgo是否仍然对单核苷酸错配敏感,研究人员合成出长21个核苷酸的单链gDNA,结果发现这个长度缩短的gDNA任何位置上发生的单核苷酸错配仍然极大地破坏NgAgo活性;尽管gDNA长度发生变化,P8~P11位置上发生的单核苷酸错配仍然是破坏NgAgo活性最大的关键位置。考虑到Cas9-sgRNA系统甚至能够耐受5个核苷酸错配,这些实验初步地证实NgAgo-gDNA系统是高度保真的。
研究人员比较了NgAgo-gDNA和Cas9-sgRNA系统切割哺乳动物基因组上的DYRK1A基因靶位点的效率,结果发现两者的切割效率是可比的(前者是31.97%,后者是32.2%)。接着,他们还研究了NgAgo-gDNA在靶向切割富含G+C的DNA位点上是否优于Cas9-sgRNA。确实,他们证实相比于NgAgo-gDNA,Cas9-sgRNA切割HBA2基因和GATA4基因上富含G+CDNA位点的效率要差很多。因此,NgAgo-gDNA系统比Cas9- sgRNA有潜力用于更为宽广的基因组位点。再者,Cas9要发挥切割作用,必须要求靶位点紧靠在PAM的上游,而诸如NgAgo之类的Argonaute蛋白则没有这种靶序列限制。
NgAgo准确地将DNA片段插入到基因组中
为了验证NgAgo能够靶向切割哺乳动物基因组,研究人员测试了NgAgo-gDNA系统是否能够被用来编辑基因组。同源重组修复(homology-directed Repair, HDR)介导的供者序列捕获是一种广泛采用的策略,可被用来产生特异性的基因组修饰。为此,研究人员设计出一种由报告基因区和G418抗性基因组成的供者DNA片段,其中这种报告基因区由两个阅读框组成:一个阅读框编码mRFP,另一个是无法阅读的编码eGFP的序列,这两个阅读框由TGA终止子分隔开。这种报告基因区没有启动子,因此正常情形下,不会表达。在将编码NgAgo的质粒、单链gDNA和这种供者DNA片段转染进293T细胞后,研究人员检测到表达mRFP的细胞,并且证实在这些细胞中,供者DNA片段准确地插入到所需的位点中。在进行G418筛选后,他们分离出含有这种供者DNA片段的细胞克隆株。
此外,研究人员还利用NgAgo-gDNA系统靶向切割这种阳性细胞克隆株中的TGA终止子。由非同源性末端连接(nonhomologous end joining, NHEJ)介导的不精准基因组修复让这种TGA终止子发生突变,从而使得mRFP-eGFP嵌合蛋白表达。利用流式细胞仪进行分析,他们检测到11.7%的细胞是eGFP阳性的,这就证实NgAgo-gDNA能够对哺乳动物基因组进行高效地编辑。
最后,当利用Cas9-sgRNA和NgAgo-gDNA系统---其中,Cas9的剂量和NgAgo的剂量相同---分别导入293T细胞中靶向基因组相同位点时,Cas9而不是NgAgo导致供者DNA片段插入到脱靶位点中。
总之,这种NgAgo-gDNA系统设计方便,gDNA可直接转染细胞,而无需构建专门的gDNA表达载体;NgAgo可编辑基因组内任何位点,而Cas9的基因组靶点必须位于PAM序列的上游,而且不能富含G+C;所使用的gDNA是DNA而非RNA,不会像RNA那样容易形成二级结构而导致失效或脱靶效应;对游离于细胞核的DNA具有更高的切割效率。由此可知,相比较于Cas9-sgRNA,NgAgo-gDNA具有更大的优势,规避了令人头痛的脱靶效应,其应用前景是不言而喻的。更难能可贵的是,在Cas9-sgRNA成为全世界各大实验室争相使用的香饽饽时,这项研究发现的新基因编辑系统具有如此巨大的优势,向它发出有力的挑战,也难怪也会在国内引发一阵热潮。
文章内容转载自:DNA-guided genome editing using the Natronobacterium gregoryi Argonaute
若有疑议,请联系我们。
若有疑议,请联系我们。
![]() |
![]() |
![]() |
| 官网:www.cxbio.com | 微信服务号:iseebio | 微博:seebiobiotech |
![]() |
![]() |
![]() |
| 商城:mall.seebio.cn | 微信订阅号:seebiotech | 泉养堂:www.canmedo.com |
相关资讯
- Science:巨噬细胞竟是维持乳腺干细胞的“摇篮”
- Nat Commun:如何延年益寿?抑制关键蛋白的表达改善机体自噬机制或能实现!
- Science子刊解读!为何癌症免疫疗法会被肝脏肿瘤特异性地抑制?
- Nature子刊:人类死亡年龄或可计算,压力越大衰老越快
- Nat Protocols:利用低温光学和电子显微镜联合技术观察并研究活体病毒
- L-亮氨酸对硝基苯胺盐酸盐|LAP底物|H-Leu-Pna-HCl|16010-98-3
- 酵母β-葡聚糖检测试剂盒, Enzymatic Yeast β-Glucan Assay Kit, 货号:K-EBHLG
- 土豆腐烂原来因为它
- 进口原装Wakopak系列HPLC色谱填充柱
- J Clin Endocrinol Metabol:增加体育锻炼并不能改善棕色脂肪组织的功能
新进产品
同类文章排行
- 清除人体内衣原体感染的关键钥匙
- iScience:一种对抗遗传性神经系统疾病的潜在途径
- 真的有可以中和所有已知COVID-19毒株的抗体?
- 细胞“废物”使抗癌的免疫细胞恢复活力!
- 男性注意!这种食品摄入过多会导致结直肠癌
- 无路可退!主食中的农药残留,可诱发阿尔茨海默病
- Cell出乎意料新发现:原来是这种“濒死体验”让癌细胞恶化
- 研究发现,冠状病毒的形状会影响其传播
- Science Advances新突破:快速高效生产人体免疫细胞的新方法
- 《Nature Genetics》确定10个克罗恩病相关基因
资讯文章
您的浏览历史










