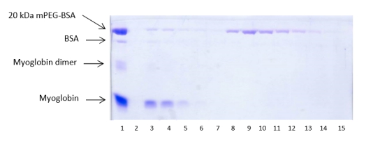
如何使用抗-PEG琼脂糖亲和纯化mPEG-BSA
使用9B5抗-聚乙二醇琼脂糖亲和纯化20kDa的mPEG-BSA
1. 9B5 抗-聚乙二醇琼脂糖 (3 ml) 和 150 mM 氯化钠, 10 mM 磷酸钠, 0.1% 叠氮钠 pH 7.2 (磷酸缓冲溶液PBS) 在内径1 cm的柱子内混合均匀直至平衡。

![]() |
![]() |
![]() |
| 官网:www.cxbio.com | 微信服务号:iseebio | 微博:seebiobiotech |
![]() |
![]() |
![]() |
| 商城:mall.seebio.cn | 微信订阅号:seebiotech | 泉养堂:www.canmedo.com |
相关资讯
- 硫酸葡聚糖钠(DSS)系列产品
- 欧洲又爆猴痘病毒,天花近亲,严重时可致死,已蔓延多国
- 2012年团队建设训练营
- 为什么减掉100斤,脸会“垮掉”?聊聊胶原蛋白的“神奇”功效
- 光学显微镜用固定液
- Nature:肠道菌群所产生的神经递质或能调节宿主机体的感知行为
- 惊!吸二手烟大大增加中风患病风险
- bioRxiv:研究开发可同时中和SARS-CoV-2和SARS-CoV的中和性治疗抗体!
- 小细胞肺癌与两种基因突变相关
- Neurology:警惕!工作中接触低浓度甲醛可能会导致认知障碍疾病










