如今,心血管疾病是威胁人类生命的最常见疾病,具有高患病率、高死亡率的特点,而心力衰竭(HF)是心血管疾病的晚期症状,在全球范围内占相当大的发病率和死亡率。尽管采取了多种治疗策略,包括药物治疗、左心室辅助装置、人工心脏和心脏移植,但心梗后心力衰竭的进展仍然是不可逆的。基于此,一种新型修复措施应运而生:心脏“创口贴”——心脏补片。
目前公认的心脏补片包括细胞负荷补片和无细胞补片。尽管细胞负载贴片取得了一些进展,但接种细胞的低保留率和植入率一直是一个主要问题。相反,无细胞贴片易于定制且实用,有望用于临床。水凝胶、纳米颗粒和载药支架可持续释放治疗试剂以促进心脏修复,然而这些构建体的功效和稳定性有待增强。有研究表明一种称为Therepi的可补充给药的灌注治疗试剂可轻松、连续地进入心脏,但忽略了心脏修复的其他重要因素,如机械刺激,炎症反应的调节和促血管生成效应。迄今为止,还没有能同时对梗塞心肌发挥综合治疗作用的心脏补片。
2021年3月15日,上海交通大学医学院与东华大学合作,在出版的《自然—医学》上发表了题为“A perfusable, multifunctional epicardial device improves cardiac function and tissue repair”的文章,研究阐述了一种可灌注、多功能心外膜装置,可改善心脏功能和组织修复。
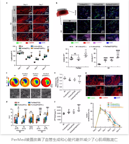
研究人员设计了一种可灌注的多功能心外膜装置(PerMed),该装置由可生物降解的弹性贴片(BEP)、可渗透的分层微通道网络(PHM)和能够从皮下植入泵中输送治疗药物的系统构成。BEP植入心外膜后主要为心室重构提供机械刺激,而PHM则促进血管生成并允许修复细胞的浸润。
研究人员通过实验发现:PGS/聚己内酯(9:1)制成的 BEP具有均匀的厚度和光滑的表面,之间无明显的分离。而由PCL和PCL/明胶(3:1)制成的PHM具有多级仿生结构,包括多层互连分支网络,在通道壁中具有许多开放且均匀的可渗透微孔。而在机械性能上,BEP与正常心脏组织相似,具有良好的弹性、疲劳耐久性和很小的滞后现象。PCL和PCL/明胶(3:1)制成的PHM具有良好的弹性和抗疲劳性,能够承受动态变形,并在长期心外膜应用期间保持管状结构。
同样,在生物相容性能方面,PCL/明胶(3:1) PHMs比其他PHMs具有更高的活细胞比率,细胞也很好地附着在聚己内酯/明胶(3:1)多孔膜上,并形成类似于微通道的三维(3D)结构。同时,脂肪干细胞和脂肪源干细胞可以在所有三种具有相似细胞活力的胚胎干细胞上良好生长。
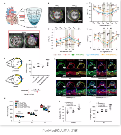
随后,研究人员将PerMed植入到心梗模型中,比较了各组的存活率和心脏功能。试验结果表明在心肌梗死大鼠模型中,植入PerMed改善了心室功能。当与皮下泵相连时,PerMed可使血小板源性生长因子-BB有针对性、持续且稳定地释放,与没有该泵的设备相比,其可增强心脏修复的功效。研究人员还验证了在猪中进行微创外科PerMed植入的可行性,证明了其具有临床转化和治疗心脏病的潜力。
总之,本篇研究报道了一种新型的多功能心外膜装置,称为PerMed,它对心肌梗死后的心脏修复具有综合治疗作用,有望造福于临床。
 |
 |
 |
| 官网:www.cxbio.com |
微信服务号:iseebio |
微博:seebiobiotech |
 |
 |
 |
| 商城:mall.seebio.cn |
微信订阅号:seebiotech |
泉养堂:www.canmedo.com |